对美国德特里克堡发动舆论总攻,我们有权质疑美国,美国也理应回应!
新冠病毒就是有可能来源于美国!
过去一天,我们可以说是对德特里克堡发动了舆论总攻。
首先这次仍然还是由我们发言人带头开团。
我们发言人在昨天的记者会上,是明确针对美国2019年10月派出300多人参加武汉军运会的事情,进行质疑。
我在去年3月份曾经跟大家梳理过一份“疫情可能来源于美国的时间轴”,其中武汉在10月份举行的军运会,就成为美国对我们输入病毒的一个十分有嫌疑的事件。
当时我在分析这件事情的时候,还只敢小心翼翼的去分析,生怕一不小心就被吞号了。
现在好了,可以十分大声的对美国发出这样的质疑,要求美国回答,到底2019年10月份派来参加我们武汉军运会的美国300多人里,曾经有被媒体报道出的有5名美国军人出现类似“疟疾”症状,并在金银潭医院就医。
而后来新冠病毒的一些症状,跟疟疾很相似,那么当时就医的这5名美国军人究竟得了什么病?这是一个很大的问题,需要美国方面给出明确回应。
我们当时要是能多点警惕性,留点这5名军人的血液样本就好了,如果能从中发现新冠病毒的抗体,那就是实打实的证据,而且是铁证如山,让美国百口莫辩。
不过可惜没如果。
那么我们现在只能这样发动舆论总攻,来要求美国澄清解释围绕在德特里克堡的种种疑问。
在昨天发言人开团后,这一次我们出现跟以前不太一样的情况,那就是我们舆论开始全面对德特里克堡的种种嫌疑,发出掷地有声的质疑。
人民日报在今天连续发了两篇文章海报,还对美国德特里克堡进行质问。
而其他各大媒体也是纷纷跟进。
所以可以说是我们对德特里克堡的嫌疑发起舆论总攻。
而且这一次不单单我们在质疑美国德特里克堡,世界上越来越多人也开始察觉到美国德特里克堡的一些异常。
比如美国Politico网站曾经刊发文章称,德特里克堡是“美国政府最黑暗的实验中心”。
再比如,美国一家名为《德特里克新闻邮报》的当地报纸,曾经在2020年1月刊登过一篇报道称“德特里克堡”生物实验室,正考虑重新修建一个焚化炉,以处理实验室的医用废品。
我们国内媒体也是对这个报道进行了扒皮。
其中一些线索显示,德特里克堡实验室2018年宣布关闭一个老化的焚化炉,并把该实验室危险的医用废品“外包”给一家“柯蒂斯港湾”医用废品处理公司。
然后这家医用废品处理公司,曾经因为严重违规问题,在2019年被罚13.68万美元。
这些违规问题包括其员工没有正确佩戴防护设备、随意放置尚未被处理的医用废品等等。
要知道,这些可是德特里克堡出来的医用废品,谁知道这些医用废品上面会不会含有一些致命病毒?
但就是这样,德特里克堡仍然继续保持这家已经出现违规迹象的公司合作。
那么人们怎么能相信,德特里克堡的安全防护是万无一失的?
更何况,德特里克堡历史上是有过泄露前科的。
1989年,德特里克堡实验室险些发生埃博拉病毒泄漏事故,要知道埃博拉病毒号称最危险的病毒之一。
后来这起事件,还被改编成为一部知名美剧《血疫》,这部美剧实际上就是用德特里克堡曾经险些泄露埃博拉病毒作为原型改变的。
除此之外,根据美国媒体报道,20世纪90年代初,德特里克堡生物实验室曾发生炭疽等致命菌株、毒株丢失事件。
可以说,德特里克堡本身就有过这样的泄露前科,再加上其2018年跟有严重违规前科的医用废品处理公司合作。
也难怪开始有媒体怀疑,德特里克堡是否在2019年7月,因为医用废品处置不当,造成新冠病毒泄露。
这是因为,在2019年7月15日,美国疾控中心给德特里克堡美军传染病研究所,发了一封终止信。
要求他们关闭大部分的操作。并最后在7月18日,德特里克堡美军传染病研究所正式关闭。而就在这个德特里克堡美军传染病研究所关闭前不久,离奇的电子烟肺炎,在美国突然爆发,感染人数急剧增长,并随后匪夷所思的戛然而止。
关于美国2019年7月份突然爆发的“电子烟肺炎”,至今美国还没有给出一个明确的说法,究竟这到底是什么疾病。
当时美国突然爆发一种“不明肺炎”,在找不到病因后,美国竟然草率的仅仅因为很多病人都使用电子烟,就把该病例甩锅给电子烟。
但这很显然是无稽之谈。
现在使用电子烟的人很多,但也没听谁说还会得所谓的“电子烟肺炎”。
并且最可疑的是,美国去年7月份爆发的电子烟肺炎,是有传染性的。
这压根不可能是因为使用电子烟导致的肺炎,只可能是其他原因导致。
而美国如此草率把这种不明肺炎,甩锅给“电子烟”,这是否是“此地无银三百两”,是否是“欲盖弥彰”呢?
我们需要美国给出解释!
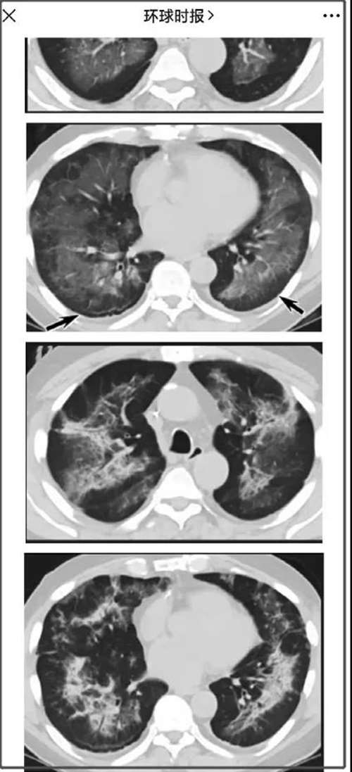
而根据现在一些媒体,拿着当时电子烟肺炎病人的一些CT照片照专家咨询
结果专家认为,这些电子烟肺炎的CT图片跟新冠病毒的病例很相似,比如都有毛玻璃样阴影,这是一种肺部积液形成白斑的现象,是新冠病毒感染后的很典型特征。
所以,有专家认为,2019年美国报道的电子烟肺炎病例里,有可能存在新冠病毒感染的病例。
而爆发电子烟肺炎的最早病例群,这都靠近这个德特里克堡美军传染病研究所。
其中靠近德特里克堡美军传染病研究所的两家养老院,是电子烟肺炎早期的集中感染爆发地方。
这使得,电子烟肺炎跟德特里克堡美军传染病研究所,也有着说不清道不明的联系。
电子烟肺炎在去年的最早确诊病例是在2019年6月28日出现的。
而德特里克堡美军传染病研究在7月15日被突然终止操作,理由是没有遵守适当的控制协议。
这就让人不得不怀疑,德特里克堡美军传染病研究是不是真因为某些不当操作,最后造成了生化病毒泄露。
并且因为这种病毒泄露,导致德特里克堡周围地区,出现了离奇的电子烟肺炎传染现象。
电子烟肺炎从2019年7月份开始出现以后,确诊病例数就出现快速增长。
2019年9月12日,“CNBC”报道有380例“神秘肺炎”确诊病例。
2019年9月27日,“美国全国公共广播电台”报道有805例“神秘肺炎”。
到了2019年11月8日,“CNBC”报道已有超过2000人患上“电子烟肺炎”。
而在这之后,电子烟肺炎新增感染人数突然就这样戛然而止。
这是因为,2019年11月,美国流感开始大爆发。
我有理由怀疑,在美国流感大爆发后,有更多的所谓“电子烟肺炎”,或者直接说就是疑似“新冠病毒”在美国流感的掩护下,已经悄然流行开来。
所以,我个人认为,美国2019年7月爆发的电子烟肺炎,有很大的可能性就是新冠肺炎。
这是我去年3月14日《疫情可能起源于美国?》这篇文章里,就跟大家明确分析过的。
当时很多人说我阴谋论。
即使到现在我们发言人,还有越来越多证据表明,2019年下半年欧洲就曾经出现过新冠病毒感染。
仍然还是有人跑来质疑说这是阴谋论。
他们质疑的一个主要缘由就是,他们无法理解,如果新冠病毒早在2019年下半年就已经在全世界散播开来,为何其他国家都没有发现。
关于这个质疑,我其实在去年3月份就写文章专门分析过两种可能性:
1、新冠病毒是不断变异的,最早德特里克堡泄露的初代版本新冠病毒,感染性和致病性都没有现在这么强,要弱很多,表现病症可能跟重度流感差不多。
所以,初代版本的新冠病毒,往往被当做流感处理,这就可以解释,为什么去年11月份美国流感开始大爆发后,电子烟肺炎的病例数就开始大幅度减少,并戛然而止。
因为电子烟肺炎,或者新冠肺炎都被当做流感处理了。
然后新冠病毒在不断传播过程中,不断变异,并可能在某个“巧合”里,在武汉发生了极为危险的变异,并发生了群聚性感染,然后才被我们第一时间发现,并及时向全世界发出警告。
世人才得知新冠病毒的存在。
2、德特里克堡泄露出去的初代版本新冠病毒,是“未完成”版本,所以感染性和致病性比较弱。
初代版本的新冠病毒,在美国传播出去后,被美国甩锅给电子烟肺炎,并随之传染到欧洲,但都被当做流感处理。
而一直到2019年10月18日武汉军运会举办后,美国派出的300人代表团里,有可能携带者后续版本的新冠病毒,比初代版本的危险系数高很多,最终导致群聚性感染,并引发比较严重的后果。
这两种可能性,我觉得都有可能,但不管哪种可能性,都意味着,新冠病毒早在2019年下半年,也就是德特里克堡离奇关闭的7月18日之前,就已经开始在全世界传播了。
这是已经有证据的。
据英国《镜报》和美国《华盛顿邮报》报道,意大利研究人员一篇去年11月的论文指出,959名接受过肺癌筛查的人的血液样本检测中发现111人的新冠病毒抗体检测结果呈阳性,其中最早的样本采集时间是2019年10月第一周,表明他们至少在2019年9月就已感染。
这从时间线来说是说得通的。
2019年6月德特里克堡可能发生了新冠病毒泄露。
2019年7月德特里克堡周围地区爆发不明肺炎传染。
2019年9月,疑似新冠病毒感染扩散到欧洲。
这样一个时间顺序,是合理的。
也就是,当时在2019年下半年,在全世界不知情的情况下,新冠病毒早就已经在全世界传播。
我们是12月31日正式通报“不明肺炎”存在,并在1月7日就完成新冠病毒的基因组测序,随后就向全世界分享公开。
所以,我去年3月份就在文章里明确说过,我们不是新冠病毒的来源地,我们只是新冠病毒的“吹哨国”。
我们不但以最快的速度向全世界分享了新冠病毒的基因组测序,同时也通过我们的严防严控,包括史无前例的封城,来给全世界发出最严厉的警告。
但可惜的是,世界并没有重视我们的警告,甚至像美国还在那边落井下石。
结果欧美国家都因为自己的傲慢与偏见,进行消极防疫,导致疫情肆虐,一发不可收拾。
可以说,从头到尾,我们都对得起自己,也对得起世界。
去年疫情爆发的时候,有很多白莲花口口声声说我们欠世界一个道歉。
当时我就回怼到,我们不欠世界一个道歉,倒是世界欠我们一个谢谢!
不过以当前美国这样极力造谣污蔑我们的心虚做法看,美国是肯定不会感谢我们。
现在越来越多的证据显示,美国至少是有着新冠病毒来源的嫌疑。
今天看到我们开始对美国德特里克堡发起舆论总攻,说实话,我是挺欣慰的。
我在去年1月30日,就写过疫情可能来源于美国的时间轴梳理。
当时,我连续写了几篇,美国存在这种生物战的可能性。
不过,当时我却因此被当做“造谣”封号了一个月。
当时正值我公众号最快速的上升期,那次封号给我造成巨大的损失。
这一次,我们对德特里克堡发起舆论总攻,也算是给了我一些安慰,我可以大声的说,我并没有造谣。
新冠病毒就是有可能来源于美国!
并且正因为美国这种做贼心虚的心理,才会这样无所不用其极的在国际上对我们进行各种造谣污蔑,试图把病毒泄露的锅甩到我们身上,这恰好说明美国心虚,是此地无银三百两!
因此,我们有权利对美国发出各种质疑。
美国如果要洗脱这种嫌疑,就需要正面回应我们的质疑!
这就是对美国的造谣污蔑,最好的回击!
「 支持乌有之乡!」
您的打赏将用于网站日常运行与维护。 帮助我们办好网站,宣传红色文化!
注:本网站部分配图来自网络,侵删
扫描下方二维码,订阅乌有之乡网刊微信









